|
24 жыл бойы мишықсыз өмір сүріп келген
|
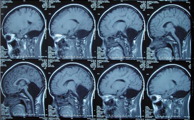
Егер сізге миыңыздың ең негізгі әрі маңызды бөлігінсіз өмір сүріп келгеніңізді айтса, қандай күйге түсер едіңіз? Қытай қызы ширек ғасырға жуық, яғни, 24 жыл бойы осындай кемістікпен өмір сүріп келгенін білмеген. Оның осынша уақыт бойы қалай өмір сүріп келгеніне дәрігерлер таң-тамаша қалып отыр. 24 жастағы қытай қызының мишығының жоғын анықтаған тәжірибелі дәрігерлер мұндай жағдай медицина тарихында өте сирек кездесетінін алға тартып отыр. Біз сөз етіп отырған қытай қызы дәрігерлерге жүрегі айнитынын әрі лоқситынын айтып, шағымданып келеді. Тексере келгенде пациенттің мишығы жоғы анықталған. Былайша «кіші ми» деп аталатын мишық қимыл-қозғалысты үйлестіреді, яғни, тепе-теңдіктің сақталуын қамтамасыз етеді, бұлшық еттің қызметін реттейді. Сол себепті, ол адам ағзасының ең маңызды бөлігі болып табылады. Мишық мидың артқы қабатында, яғни, адамның желке тұсында орналасқан. Мишық мидың қабымен байланысқанымен оның қызметін адам санасы бақылай алмайды. Пациент тек төрт жасында ғана жүрген және жиырма жыл бойы аяғын нық басып жүре алмаған, өйткені, мишық жауапты болып табылатын тепе-теңдікті сақтауы қиынға соққан. Десе де, бойжеткеннің ағзасы осынау кемістікке де «бой үйреткен», яғни, өзінше бейімделген. Қимыл-қозғалысындағы тепе-теңдікке аса мән бермей келгені анықталды.

Brain журналында жарық көрген дәрігерлердің (қытай қызын қараған) есебіне қарағанда, бойжеткеннің бойынан тіпті мишықтың титтей де бір жасушасы табылмаған. Зерттеуден белгілі болғандай, пациенттің балалық шағында өзінің осынау кемістігіне барынша бейімделген. Мидың бұл қызметін өзге бөлігі «атқарып» келген. Алайда, бұл өз кезегінде қыздың сөйлеу қабілетіне нұқсан келтіріпті. Мұндай жағдай медицина тарихында сегіз рет болған екен. Мұндай кемістік шараналардың бойынан анықталған әрі олардың көбісі шетінеп кеткен.